CORD
1. METODE DE INVESTIGATIE
2. ANATOMIE RADIO-IMAGISTICA
3. SEMIOLOGIE CORD (RADIOGRAFIE)
4. SINDROMUL VASCULAR PULMONAR (RADIOGRAFIE)
5. VALVULOPATII
PERICARDICE (RADIOGRAFIC)
1. Metode de investigatie
Metodele de investigaţie ale aparatului cardio-vascular
- Metode conventionale: radiografia PA, TS, OAD, OAS, radioscopia
- Metode imagistice: ecocardiografia (ETE-ecocardiografia trans esofagiana, ecografia toracica), cateterismul cardiac, angiografia, coronarografia, CT multislice cardiac, IRM, scintigrafia cardiacă, SPECT, PET
- Metode – iradiante / neiradiante
- Metode – neiradiante / ecografia
Sectiune parasternala axa lunga
Sectiune apical patru camere
- Valva mitrala
- Valva aortica
- Valva mitrala
- Valva tricuspida
Metode/ Imagistica sectionala
Metode / coronarografie
Metode / Scintigrafia cardiaca – perfuzie miocardica
- Radiatii gamma
- Cale de intrare
- Cale de iesire
Metode clasice
- Angioscopie digitala
- Angiocardioscopie conventionala
- Angioscopie pulmonara digitala
2. Anatomie radio-imagistica cardio-vasculara
Anatomie radiologica
Anatomie radiologica PA
Anatomie radiologica PA - zona de proiectie a valvelor tricuspida (dreapta) si mitrala (stanga)
Imaginea cardiaca radiologica - PA
- dimensiunea cordului in raport cu diafragmul
- masurarea aortei dupa metoda Kreuzfuchs
Imaginea cardiaca radiologica - PA - Indicele cardio-toracic
- T1+T2 = diametrul transvers cardiac (DTC)
- DT = diametrul transvers toracic
- ICT = DTC/DT = 0.48
Anatomie radiologica TS
Anatomie radiologica - Contur anterior, Contur posterior
- VD
- Ao asc
- AS
- VS
Anatomie radiologica TS
Imaginea radiologica toracica normala PA, TS
- VCS
- AD
- VD
- Aorta
- AP
- AS (urechiusa)
- VS
Anatomie cardiaca IRM
- Achizitii in diverse planuri de sectiune
3. Semiologie cardio-vasculara in radiologie
Șunt dreapta – stanga: sangele din ventriculul drept trece in ventriculul stang printr-o comunicare anormala la nivelul septului interventricular; o cantitate de sange nu mai ajunge in artera pulmonara, rezultand debit redus in artera pulmonara (oligemie).
Șunt stanga – dreapta: sangele din ventriculul stang trece in ventriculul drept printr-o comunicare anormala la nivelul septului interventricular; o cantitate de sange ajunge in plus in ventriculul drept si in artera pulmonara, rezultand debit crescut in artera pulmonara (hiperemie).
Aprecierea maririi cavitatilor cardiace
- Gradul I: usor marit
- Gradul II: moderat marit
- Gradul III: mult marit
Atriul stang
Marirea atriului stang
- Se apreciaza in PA si in TS (+/- OAD, OAS).
- In incidenta PA se evalueaza:
- conturul drept al AS (comparat cu al atriului drept / grade de marire AS);
- conturul urechiusei stangi (arc II, stang in 1/3 inferioara);
- diametrul atriului stang (masurat de pe conturul drept pana la marginea inferioara a bronsiei principale stangi, N=7 cm);
- largirea unghiului carinar (peste 75 grade);
- orizontalizarea bronsiei principale stangi (impinsa cranial de atriul stang marit).
Gradele de marire ale atriului stang / conturul drept inferior PA
- Gradul I: dublu contur concentric
- Gradul II: dublu contur excentric
- Gradul III: arc inferior mult marit, AS nu ajunge la diafragm
AS marit fara sa depaseasca conturul atriului drept
AS marit cu depasirea conturului atriului drept
AS normal
Unghiul carinar peste 75°
Orizontalizarea bronsiei stangi
Dublu contur concentric
Diametrul atriului stang Normal
Bombarea urechiusei stangi
Grad III: mult marit, depaseste atriul drept, Niciodata NU ajunge pana la diafragm
Masurarea atriului stang – PA cu raze dure
Semiologie - marirea AS
- PA: conturul inferior drept al inimii bombat grad III, urechiusa stanga proemina, diametrul transvers al AS peste 7cm, orizontalizarea bronhiei stangi, unghiul bifurcatiei traheei > 75°
Semiologie - marirea AS
- PA: conturul inferior drept al inimii bombat grad III, urechiusa stanga proemina, diametrul transvers al AS peste 7cm, orizontalizarea bronhiei stangi, unghiul bifurcatiei traheei > 75°
AS gradul I - Semiologie - marirea AS - PA - Dublu contur concentric
AS gradul II - Semiologie - marirea AS - PA - Dublu contur excentric
Semiologie - marirea AS - PA - Gradul II - Dublu contur excentric = depaseste conturul superior al AD
Semiologie - marirea AS - PA - Gradul II
Semiologie - marirea AS - PA - Gradul III - AS marit formeaza cea mai mare parte a conturului inferior drept (nu ajunge la diafragma)
Marirea atriului stang in TS
- Pe radiografie de profil stang:
- Bombeaza conturul posterior si superior (al atriului stang);
- Comprima esofagul baritat (situat posterior de atriul stang).
Masurarea atriului stang in TS
- <40 mm (barbati)
- <36 mm (femei)
- Art. pulm. dreapta
- Bronhia lobara superioara stanga
Imaginea radiologica in TS
- Contur anterior
- Contur posterior
- VD
- Ao asc
- AS
- VS
Atriul stang marit in TS
Dg. pozitiv (calitativ)
- PA: grade de marire
Dg. de severitate (cuantificare/masurare)
- PA: masurare (peste 7cm)
- TS: masurare (peste 36-40mm)
Semiologie - marirea AS
Marire de atriu stanga PA si TS
Atriul drept
Marirea atriului drept
- Se apreciaza in PA si in TS (+/- OAD, OAS).
In incidenta PA se evalueaza:
- conturul drept inferior al siluetei mediastinale (marit, bombeaza peste 1/3 din diafragma interna)
- ajunge intotdeauna pana la diafragm (oricat de mare ar fi)
Atriul drept
Marire de atriu drept
- Rgr PA: Conturul inferior drept al siluetei mediastinale depaseste 1/3 interna a hemidiafragmei drepte
Marire de atriu drept
- Rgr PA: Conturul inferior drept al siluetei mediastinale depaseste 1/3 interna a hemidiafragmei drepte
Semiologie - marirea AD - PA
- PA: contur inferior drept
Ventriculul stang
Marirea ventriculului stang
- Radiografic:
- Pozitie de fata Incidenta PA
- Pozitie de profil Incidenta TS
Marirea VS pe Rgr toracica de fata in PA
VS marit rgr de fata in PA
VS normal
VS marit
Marirea ventriculului stang
- In pozitia de fata incidenta PA produce:
- bombarea arcului inferior stang,
- acesta depaseste jumatatea hemidiafragmei stangi
- apexul coboara pe diafragm
Marirea VS - Shmoo sign
Semiologie – marirea VS - PA
- Marirea VS in PA - arc inferior stang bombat > ½ diafragm
- A. predominanta dilatatiei
- B. predominanta hipertrofiei
Semiologie – marirea VS
- Marirea VS in PA
Semiologie – marirea VS
- Marirea VS in PA
- Cardiomiopatie dilatativa
Marirea VS pe Rgr Profil Stang
Marirea ventriculului stang
- Pe radiografia de profil stang (TS) produce:
- Bombarea arcului inferior si posterior.
- Masurarea Hoffmann- Riegler se utilizeaza in mariri incipiente (cand exista suspiciune de marire pr rgr. PA).
VS marit in TS
TS - Semiologie TS – marire a VS
TS - Metoda Hoffmann–Riegler - modificări incipiente a VS
TS - Semiologie TS – marire incipienta a VS
- Distantele se calculeaza pe bisectoarea unghiului
Masurare:
- Linie roz = conturul VS
- Linie galbena = conturul posterior al venei cave inferioare
- X = punctul de intersectie a celor doua
- Linie neagra punctata = bisectoarea unghiurilor formate
- La 2 cm de la X spre cranial se masoara distanta intre VCI si conturul VS (Normal sub 18mm)
- De la X spre caudal pana la diafragm se masoara distanta (Normal peste 10mm)
TS - Metoda Hoffmann–Riegler - modificări incipiente a VS
- De la punctul X spre cranial se masoara 2 cm si acolo se stabileste distanta intre conturul VCI si conturul VS pe o directie orizontala.
Gradele de marire ale VS in OAS (conturul postero-inferior)
- Grad I (pana la coloana vertebrala, tangent)
- Grad II (se sumeaza cu coloana vertebrală)
- Grad III (+ bombeaza conturul ventriculului drept anterior)
Dg. pozitiv (calitativ):
- PA
- TS
- OAS (grade)
Dg. de severitate (cuantificare):
- TS (mariri incipiente, mici)
Semiologie - marirea VS
Ventriculul drept
VD normal
VD marit
Marirea ventriculului drept
- Pe rgr de fata produce:
- Ridica varful inimii de pe diafragm si il rotunjeste (cord in sabot).
- Marirea diametrului transvers al inimii
- Rotatie orara a cordului cu adancirea golfului inimii.
- Bombarea trunchiului arterei pulmonare
- Pe rgr de profil produce:
- Bombarea arcului anterior cu disparitia spatiului retrosternal.
Semiologie - mărirea VD
- Tetralogie Fallot:
- Hipertrofie VD
- Stenoza de a. pulmonara /valvulara/infundibulara
- DSV
- Aorta pe dreapta
- Cord in sabot
Semiologie - mărirea VD
- Insuficienta tricuspida:
- Marire de atriul drept + marire de ventricul drept care impinge ventriculul stang
- Bombarea conului arterei pulmonare
Marire de ventricul drept
- Bombeaza conul arterei pulmonare;
- VS impins spre stanga;
- Apexul cordului ridicat pe diafragm
- DSV cu sunt stg-dr
Ventricul drept marit + Hipertensiune art. Pulm.
- VD bombeaza pe conturul anterior si reduce spatiul transparent retrosternal!
Ventricul drept marit in TS
Aorta
Dilatatia de aorta
- Rgr PA:
- Butonul aortei corespunde cu crosa aortei si se afla la 1,5 cm sub clavicula stanga
- Alungita = butonul aortei ajunge la nivelul claviculei stangi
- Dilatata = butonul aortei proemina in spre stanga;
- Aorta ascendenta formeaza in al treilea arc in dreapta;
- Aorta descendenta devine vizibila in stanga
Semiologie - aorta
- 4 = crosa aortei
Semiologie - Aorta
- Aorta aterosclerotica: dilatatia butonului + alungire craniala + al treilea arc in dreapta;
Aorta dilatata in PA
- Aorta ascendenta dilatata (al treilea arc in dreapta) + butonul aortic bombat in campul pulmonar + aorta descendenta vizibila
Semiologie - Aorta
- Dextrocardie versus Situs inversus
Semiologie - Aorta
- Butonul Aortei pe dreapta (+ esofag baritat)
Aorta dilatata in TS
-
- colectie lichidiana in sinusul costo-diafragmatic posterior si anterior drept
- Disparitia spatiului transparent retrosternal
Artera pulmonara
Masurarea arterei pulmonare
- Barbati: <16 mm
- Femei: <15 mm
- PA – arcul II in 2/3 superioare formeaza conul arterei pulmonare
- Se masoara segmentul intermediar in PA in dreapta.
- Trunchiul arterei pulmonare marit:
- Grad I (devine rectiliniu)
- Grad II si III (bombeaza)
Hipertensiunea pulmonara arteriala
- Tomografie plana la nivelul hilului pulmonar
Hipertensiunea pulmonara arteriala
Hipertensiunea pulmonara arteriala
- Defect septal atrial cu sunt STG-DR → Hipertensiune arteriala pulmonara cu dilatatie arterelor pulmonare bilateral
Marirea arterei pulmonare exemplu DSV+ marire VD
- Bombeaza conul arterei pulmonare;
- Diametrul arterei pulmonare drepte in segmentul intermediar este mai mare
- Marirea VD
- Dilatatia arterelor pulmonare
4. Sindromul vascular pulmonar
Desenul pulmonar normal: arterele si slab unele vene VII-VIII
- Hilul arterial la nivel arc post costale 7-8
Desen pulmonar normal
- Mantaua Felix = 1-2 cm la periferie. NU se mai vad arterele pulmonare.
- Zona centrala = hilul pulmonar,
- Zona periferica = mantaua Felix
- In ½ inferioara se vad mai multe vase si mai groase decat in ½ superioara.
Diferentierea intre arterele si venele pulmonare
- Artere:
- emerg arc costal post 7-8
- calibru <
- contur net
- Vene:
- intra arc costal post 8-9-10
- calibru >
- contur flu
Artere si Vene
- Diferentierea intre arterele si venele pulmonare
- Aspect radiologic
- Artere pulmonare
- Vene pulmonare
- calibru
- contur
- traiect
- PA, localizarea hilului
- PA, localizarea in 1/3 superioara a plamanului
- TS, Localizare la nivelul hilului
Analiza vascularizatiei pulmonare pe rgr de fata
- Regiuni:
- hilar
- intercleidohilar
- infrahilar
- camp periferic mijlociu
- deasupra sinusului c-d lateral
Circulatie pulmonara normala
- Staza venoasa cu artere + vene vizibile
Aspect normal al arterelor pulmonare
- Vene pulmonare vizibile (aspect patologic)
Circulatia pulmonara functionala
- AD
- VD
- AP
- CP
- VP
- AS
- VS
- AO
Infarct pulmonar Hipertensiune arteriala pulmonara Hipertensiune venoasa pulmonara Edem pulmonar acut Oligemie Hiperemie Hipertensiunea mixta Capilarul pulmonar
Sindroame fiziopatologice ale modificarilor circulatiei pulmonare
- Modificari de debit:
- diminuare (oligemie)
- crestere (hiperemie /pletora)
- Cresterea rezistentelor vasculare (hipertensiunea):
- precapilara (hipertensiunea arteriala - HTPA)
- postcapilara (hipertensiunea venoasa - HTPV)
- globala (hipertensiunea globala / mixta)
- Modificari focale de circulatie pulmonara
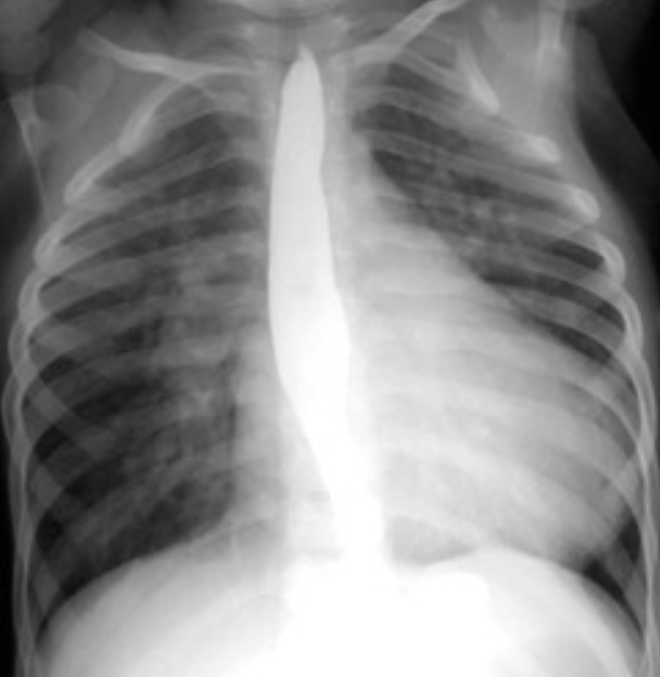
Oligemia
- Oligemie = debit de sange redus in arterele pulmonare
- Cauze:
- Stenoza valvulara de artera pulmonara sau hipoplazie (unilaterala): nu ajunge suficient sange in arterele pulmonare.
- Hipovolemie: nu este suficient volum de sange in arterele pulmonare si in tot corpul.
- Cardiopatii congenitale cu șunt D-S: nu ajunge suficient sange in arterele pulmonare.
- Cauze:
Oligemia rgr de fata

- Hipertransparenta pulmonara (se reduce numarul si calibrul vaselor pulmonare)
- Hili mici, gracili (Danielus)
- Mantaua Felix larga
- Fara distensie toracica
Oligemia
- Tetralogie Fallot:
- Hipertrofie VD
- Stenoza de artera pulmonara /valvulara/infundibulara
- DSV
- Aorta pe dreapta
- OLIGEMIE
Pericardita exudativa/colectie pericardica

-
- Oligemie
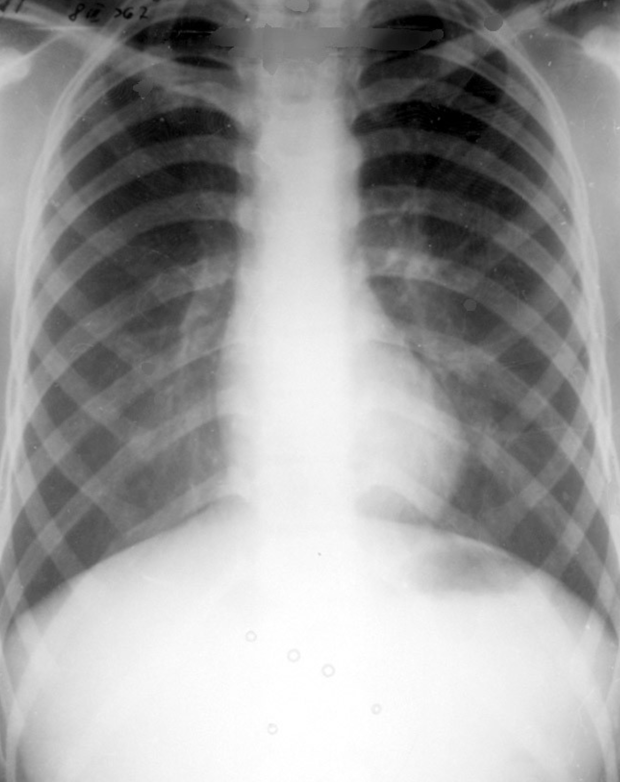
Patent ductus arteriosus-hiperemie
Hiperemia
- Hiperemie = debit de sange crescut in arterele pulmonare.
- Cauze:
- Insuficienta valvulara de artera pulmonara: cantitate de sange in plus in arterele pulmonare.
- Hipervolemie (sindrom nefrotic): acumulare de lichid in plus in toate arterele si venele corpului.
- Sindrom hiperkinetic (hipertiroidism): debit cardiac crescut cu viteza mai mare de circulatie a sangelui.
- Cardiopatii congenitale cu șunt S-D (defecte septale)
- Cauze:
Hiperemia (exemplu DSV+ marire VD)
- Șunt stanga-dreapta
- RGR:
- Hili arteriali mari (dimensiuni crescute)
- Vase (artere) pulmonare dilatate!
- Mantaua Felix dispare
- Hipotransparenta pulmonara

Patent ductus arteriosus-hiperemie
- O comunicare intre aorta si artera pulmonara: o cantitate de sange in plus trece din aorta in artera pulmonara, rezultand hiperemie.

DSV- cu șunt stanga-dreapta + Hiperemie
![[Curs_5_Sunt-stanga-dreapta-hiperemie.png]]
Hipertensiunea arteriala pulmonara
Definitia hemodinamica a hipertensiunii arteriale pulmonare
- Presiunea AP sistolica > 30 mm Hg
- SAU
- Presiunea AP medie > 25 mm Hg
Cauze HTAP
- hipoxia cu hipoventilatie alveolara (cord pulmonar cronic): se produce vasoconstrictie arteriolara
- HTPA secundara (embolii pulmonare, restrictie a circulatiei pulmonare, HTPV, sunturi cardiace stanga-dreapta): se produce vasoconstrictie arteriolara
- HTPA primara, idiopatica: se produce vasoconstrictie arteriolara
Hipertensiunea pulmonara arteriala
- RGR:
- hil marit, arterial, artera pulmonara dreapta descendenta peste 17mm
- desen periferic sarac (vasoconstrictie arteriolara)
- trecere brusca de la hilul dilatat la periferia saraca = hil amputat
- mantaua Felix largita
- arc II stang bombat (conul a. Pulm)
- HVS in cazuri severe.
- Normal: diam. APD = 15 - 16 mm
CT:
- Creste calibrul arterelor pulmonare
- Indice arterio-bronsic peste 1 la nivelul arterelor segmentare.
- Trunchiul arterei pulmonare este cu calibru mai mare decat al aortei ascendente.
Hipertensiunea pulmonara arteriala
- Embolia pulmonara acuta masiva produce HTAP acuta cu insuficienta cardiaca dreapta acuta (cord pulmonar acut) !!!
Hipertensiunea pulmonara arteriala
- Indicele arterio-bronsic: 2,5
- Tomografie plana la nivelul hilului pulmonar
Hipertensiunea pulmonara arteriala idiopatica
- RGR:
- hil marit, arterial
- desen periferic sarac
- trecere brusca de la hilul dilatat la periferia saraca = hil amputat
- mantaua Felix largita
- arc II stang bombat (conul a. Pulm)
- Indici arterio-bronsic mai mare decat 1.
-
- opacitati bazale drepte + simfize costo-diafragmatice bilateral
Hipertensiunea pulmonara arteriala severa
- persistenta ductului arterial (comunicare a. pulmonara si a. aorta)
- Aorta dilatata
-
- conul arterei pulmonare dilatat
- Artera pulmonara dreapta dilatata (hil amputat)
Hipertensiunea pulmonara arteriala
- Defect septal atrial cu șunt STG-DR → Hipertensiune arteriala pulmonara severa
- Hili arteriali mariti si amputati cu bombarea conului arterei pulmonare +/- HVD
Hipertensiunea pulmonara arteriala severa
- Defect septal atrial cu șunt stanga-dreapta
Hipertensiunea pulmonara arteriala severa
- Marire AD si VD
- Aplatizarea septului interventricular
- CT aspect normal al septului interventricular (bombat spre VD)
Hipertensiunea arteriala pulmonara severa IRM T1
- Hipertrofie ventriculara dreapta
- Aplatizarea septului interventricular
Hipertensiunea venoasa pulmonara
Definitia hemodinamica a hipertensiunii venoase pulmonare
- Cresterea presiunii venoase retrograd sau ca o consecinta a suferintei inimii stangi.
- (presiune capilara pulmonara > 10 - 12 mm Hg)
Cauze HTP venoasa
- obstructia caii de iesire a ventriculului stang (stenoza aortica, coarctatie de aorta)
- afectiuni mitrale (stenoza, insuficienta mitrale)
- insuficienta VS
- formatiuni tumorale intraatriale (mixom atrial)
Hipertensiunea pulmonara venoasa
- 3 grade:
- usor (I): 12-18 mmHg
- mediu (II): 19-25 mm Hg
- sever (III): > 25-30 mm Hg
- Se dezvolta progresiv, cu mai multe aspecte in functie de agravare
Grad usor
- Hipertensiunea venoasa pulmonara:
- RGR:
- Hil venos vizibil
- Desen venos vizibil pana la periferie
- Mantaua Felix dispare
- Egalizarea vascularizatiei pulmonare (venele cu grosime ca si cele inferioare)
- Grad usor - 12 - 18 mmHg
- RGR:
Hipertensiunea venoasa pulmonara
- RGR:
- Hil venos vizibil
- Desen venos vizibil pana la periferie
- Mantaua Felix dispare
- Egalizarea vascularizatiei pulmonare
- Grad usor - 12 - 18 mmHg
Grad mediu
- Hipertensiunea pulmonara venoasa:
- Inversarea vascularizatiei pulmonare
- Liniile Sylla (traiecte venoase superioare intercleidohilare)
- Mantaua Felix redusa
- Edem interstitial
- Hil mare, flu (edem interstitial peribronsic)
- Pastile vasculare
- Benzi Kerley B
- Transsudate pleurale
- liber
- inchistat
- Grad mediu - 18 - 25 mmHg
Hipertensiunea venoasa pulmonara
- Grad mediu - 18 - 25 mmHg
-
- Edem interstitial:
- Hil mare, flu
- Pastile vasculare
- Benzi Kerley B
-
Staza venoasa grad mediu (HTVP)
- Initial insuficienta cardiaca: Linii Kerley B
Staza venoasa grad mediu (HTVP)
- Initial insuficienta cardiaca grad mediu: Dupa 1 saptamana de tratament
Insuficienta cardiaca - HTVP
- Grad mediu
Cardiomiopatie
- Grad mediu:
- Pastile vasculare
-
- colectie pleurala dreapta in cantitate mica
- Pastile vasculare = vene pulmonare in plan ortograd
Grad sever
- Hipertensiunea venoasa pulmonara:
- RGR:
- Hipotransparenta difuza pulmonara
- Desen vascular slab vizibil
- Edem interstitial
-
- Edem pulmonar acut alveolar (aripi de fluture)
- Poate fi asimetric
- Grad sever > 25-30 mmHg
- RGR:
Schema gradelor de hipertensiune venoasa (staza venoasa)
- Egalizarea vascularizatiei pulmonare
- Inversarea vascularizatiei pulmonare
5. Valvulopatii
Valvulopatii / Metode
- Radiografia
- Radioscopia/ fluoroscopia
- Ecografia transtoracica
- ETE-ecografia transesofagiana
- Cateterism cardiac
- IRM
- CT cardiac
Valvulopatii
- inel fibros
- valve
- cordaj tendinos
- muschi papilari
- anatomia valvei
- tipul disfunctiei
- gradul disfunctiei
- gradienti valvulari
- modificarea cavitatilor
- modificarea hemodinamicii
- Informatii de interes
Valvulopatii / Metode
- Ecografia transtoracica:
- cuantificarea stenozei si ariei valvulare
- cuantificarea regurgitarii si aria orificiului efectiv
- aprecierea functiei ventriculare
- aprecierea anatomica a cavitatilor cardiace
- ETE:
- anatomie valvulara
- disfunctie valvulara in endocardita infectioasa (vegetatii)
- sau cand fereastra acustica este slaba
Valvulopatii / Metode
- CT cardiac:
- dimensiunea cavitatilor cardiace
- cinetica valvelor
- masurarea orificiilor valvulare
- masurarea gradientilor de presiune
- mase miocardice
- fluxul pulmonar arterial si venos
- aprecierea functiei VS
- calcificari
- IRM: in plus
- jetul valvular intracardiac in disfunctiile valvulare
- cuantificarea gradului disfunctiei valvulare
- planimetria orificiului valvular
- mai putin fiabila in aprecierea calcifierilor valvulare
Stenoza mitrala
Valvulopatii / Stenoza mitrala
- micsorarea orificiului mitral
- etiologie: boala reumatica, cauze obstructive AV (tromb, tumora, mixom)
- M:F = 1:8
- patogeneza: stenoza orificiului mitral
- dilatare AS
- micsorarea buton aortic
- evolutiv:
- hipertensiune venoasa pulmonara
- hipertensiune pulmonara mixta
Modificari radio-imagistice corelate
- Pe radiografie toracica PA:
- marire in grade variabile a atriului stang;
- circulatie pulmonara normala sau
- staza pulmonara in grade variabile (inclusiv gradul III de edem pulmonar acut);
- VS normal!
- Stenoza mitrala
- Marire atriul stang grad I
- Stenoza mitrala: Atriu stang cu dublu contur concentric, Bombarea urechiusei stangi, Marirea unghiului carinei, Hipertensiune mixta (venoasa si arteriala)-bombeaza conul arterei pulmonare
Stenoza mitrala
- Pe radiografie toracica TS:
- Marire a atriului stang (bombarea arcului postero-superior);
- circulatie pulmonara normala sau
- staza pulmonara in grade variabile (inclusiv gradul III de edem pulmonar acut);
- VS normal
Insuficienta mitrala
Valvulopatii / Insuficienta mitrala
- valva mitrala incontinenta in sistola
- organica – leziuni – reumatice, degenerative, infectioase, ischemice, congenitale, traumatice
- functionala – secundar dilatarii VS
- patogeneza corelata cu aspectul radiologic:
- marire AS
- marire VS
- consecintele hemodinamice:
- staza pulmonara grade variabile
Insuficienta mitrala cronica
- Insuficienta mitrala acuta: flux retrograd transvalvular (ECO, IRM, CT) fara marirea cavitatilor cardiace + edem pulmonara acut.
Insuficienta mitrala
- Pe radiografie toracica PA:
- marire in grade variabile a atriului stang;
- marirea ventriculului stang;
- circulatie pulmonara normala sau cu staza pulmonara in grade variabile (inclusiv gradul III de edem pulmonar acut= HTVP).
- in final se instaleaza hipertensiunea arteriala pulmonara (HTAP) + marirea ventriculului drept (VD).
Valvulopatii / Insuficienta mitrala
- Stenoza mitrala pura
- Stenoza+ insuficienta mitrala
- +/- Staza venoasa (HTVP) +/-HTAP +HVS
Insuficienta mitrala
- Marire AS
- Marire VS
- Marire VD
- HTAP medie
Insuficienta mitrala + edem pulmonar acut
- Rgr PA:
- La nivel pulmonar: opacitati nesistematizate, cu aspect de sindrom de umplere alveolara, localizate in ambele campuri pulmonare, asimetric.
- La nivel cardiac: AS marit + HVS = insuficienta mitrala
Valvulopatii aortice
Valvulopatii / Insuficienta aortica
- inchidere incompleta a valvulelor sigmoide aortice in diastola (regurgitare)
- Insuficienta aortica acuta:
- RGR: VS normal, cu functie normala+ edem pulmonar acut, +/- disectie de aorta, +/-ruptura aortica
- Eco, CT + IRM: jet de regurgitare la valva aortica + vegetatii valvulare, minima marire a VS +/- flap intimal
- Insuficienta aortica cronica:
- RGR: Hipertrofie VS, adancirea golfului inimii (rotatie in ax a inimii), aorta derulata, calcificari valvulare, cord de tip aortic
- MDCT: artere coronare
- IRM, Eco: jet sanguin poststenotic, cinetica valvulara, cuantifica dilatatia VS
- Insuficienta aortica acuta:
Valvulopatii / Insuficienta aortica
- inchidere incompleta a valvulelor sigmoide aortice in diastola (regurgitare)
- patogeneza: hipertrofiere si dilatare a VS, dilatatie aorta ascendenta
- marirea VS
- largirea AO, buton Ao proeminent
- arc mijlociu concav
- Ecocord + IRM: regurgitare
- patogeneza: hipertrofiere si dilatare a VS, dilatatie aorta ascendenta
Valvulopatii / cord de tip aortic
- VS
- Aorta dilatata si alungita +VS = HTA-ateromatoza aortei
- Aorta dilatata si alungita + HVS
Cord de tip aortic (modificari cronice)
- Ateromatoza aortei
- VS normal
- Stenoza aortica
- HVS + dilatatie de aorta ascendenta
- Insuficienta aortica
- Hipertrofie VS + dilatatie de aorta ascendenta
Insuficienta aortica
- IRM regurgitare aortica in diastola
Regurgitare aortica (insuf valvulara aortica) + dilatate de aorta ascendenta
- CT Cardiac + S.C
Valvulopatii / stenoza aortica
- micsorarea orificiului aortic
- patogeneza: cantitate mica de sange in sistola in aorta
- incipient: hipertrofie VS
- apoi dilatare VS
- cresterea presiunii jetului VS-Ao
- dilatatie poststenotica de aorta asc.
- supravalvulara
- valvulara
- subvalvulara
- patogeneza: cantitate mica de sange in sistola in aorta
Stenoza aortica
- RGR:
- Hipertrofie Ventricul stang
- Adancirea golfului inimii
- Dilatatie de aorta ascendenta
- Aorta derulata +
-
- Al treilea arc pe dreapta
- MDCT, Eco: calcifieri valvulare, calcularea suprafetei orificiului valvular aortic, gradientii de presiune, fractia de ejectie, circulatia pulmonara, arterele coronare.
- IRM: jet poststenotic, morfologia si cinetica valvulara, hipertrofie VS, gradientii de presiune, fractia de ejectie
Stenoza aortica
- RGR:
- Dilatatie de aorta ascendenta (al treilea arc pe dreapta)
- Hipertrofie Ventricul stang (initial minimal)
- Crosa aortica nu este afectata!
Stenoza aortica
- IRM: flux cu viteza crescuta in aorta ascendenta in sistola
Valvulopatii / stenoza aortica / cong.
- Stenoza aortica
- Insuficienta aortica
6. Afectiuni miocardice/pericardice (radiografic)
Pericardul parietal fibros
- Pericardul visceral membranos (epicardul)
Aspectul cordului in afectiunile pericardului
- afectare a pericardului: colectie (sange, exudat, transsudat, aer), ingrosare fibroasa, ingrosare calcara, ingrosare tumorala
- modificarea dimensiunilor cordului – cord mare (colectie), cord mic (pericardita constrictiva)
- semne ale afectiunii de baza
- +/- semne de insuficienta cardiaca
Pericardita exudativa/colectia pericardia - aspect RGR
- Pericardita exudativa (acumulare de lichid peste 50ml)
- modificarea formei cordului – disparitia arcurilor cardiace, cord in carafa sau plosca
- pulsatii cardiace absente sau reduse (radioscopie)
- desen pulmonar redus sau normal (se reduce intoarcerea venoasa)
- Unghi cardio-frenic sub 90 de grade (ascutit)
- cantitativ:
- mica sub 200ml (nu se vede radiologic, se vede ecografic pe conturul posterior si pe conturul stang al cordului)
- medie 200-500 ml
- mare peste 500ml
- Dg diferential cu afectiunile miocardice
Pericardita exudativa in cantitate mica
- Water bottle (plosca de apa)
Pericardita exudativa in cantitate mica
Pericardita exudativa in cantitate mare
- Decubit dorsal
Colectie pericardica in cantitate mare
- Pacient in sedestatism
Pericardita exudativa/colectia pericardia - aspect imagistic
- ECO:
- metoda de prima intentie; stabileste prezenta, localizarea, aspectul si cantitatea
- zona transsonica in jurul cordului
- contractilitatea si functia (riscul tamponada cardiaca)
- MDCT, IRM:
- natura lichidului, cantitate, grosimea foitelor pericardului, ingrosari focale tumorale,
- contractilitatea cordului si functia
- aprecieri etiologice
- CT: lichidul + hipodensitate lichidiana / paralichidiana (0-25 UH)
- IRM: lichidul hipoT1, hiper T2
- Priza de contrast in pericard (CT, IRM) = inflamatie sau tumora pericardica
Pericard normal CT
- Linie densa subtire pe conturul inimii drepte si a apexului
Colectie pericardica
- CT + S.C,
- Sectiune la nivelul ventricular, acumulare cu densitati lichidiene in sacul pericardic.
Cine-MRI
- Pericardita cronica
- Sangele circulant in hipersemnal!
- Sagital axial coronal
Insuficienta cardiaca
- Deficit de functie contractila a inimii
- Cauze: infarct miocardic, miocardita, valvulopatii, boli congenitale
- Radiologic: aspect de cardiomiopatie
- cardiomegalie (dilatatia cavitatilor),
- contur fluu
- aspect culcat pe diafragm/ triunghiular/flasc,
- unghi cardio-frenic optuz,
- staza venoasa (HTPV) in grade diferite
Miocardiopatia aspect RGR
- afectare a miocardului de origine ischemica, dismetabolica
- marire globala a cordului, toate cavitatile
- modificarea formei cordului - “culcat pe diafragm”
- pulsatii cardiace prezente, dar mici
- semne ale afectiunii de baza ; HTA, ATS
- +/- semne de insuficienta cardiaca (staza pulmonara)
Cardiomiopatie
- Cord flasc, culcat pe diafragm
Aspectul cordului in afectiuni pericardice si miocardice
- Cardiomegalie cu contur net
- Vase pulmonare sarace / oligemie
- Unghi cardiofrenic ascutit
Cardiomegalie cu contur fluu
- Vase pulmonare dilatate / HTPV
- Unghi cardiofrenic obtuz
Pericardita cronica constrictiva
- Morfopat:
- Ingrosarea foitelor pericardice peste 4 mm + calcifieri
- simfiza foitelor pericardice cu calcifieri
- pulsatii amplitudine mica
- impiedica diastola
- determina staza anterograda
Pericardita cronica constrictiva
- RGR:
- cord cu dimensiuni normale sau mai mic
- opacitati calcare pe conturul cardiac (fata inferioara si laterala dreapta, santuri atrioventriculare)
- +/- marire biatriala
- MDCT + IRM: cea mai buna conduita (anomalii de contractilitate +insuficienta cardiaca, priza de contrast = proces inflamator activ)
- Eco: limitari date de calcifierile pericardice
Calcifieri pericardice
- Pericardita calcara
- Calcificari:
- densitati calcare la CT si hiposemnal la RM
- IRM: calcifierile sunt in hiposemnal pe toate secventele
- Calcificari: